

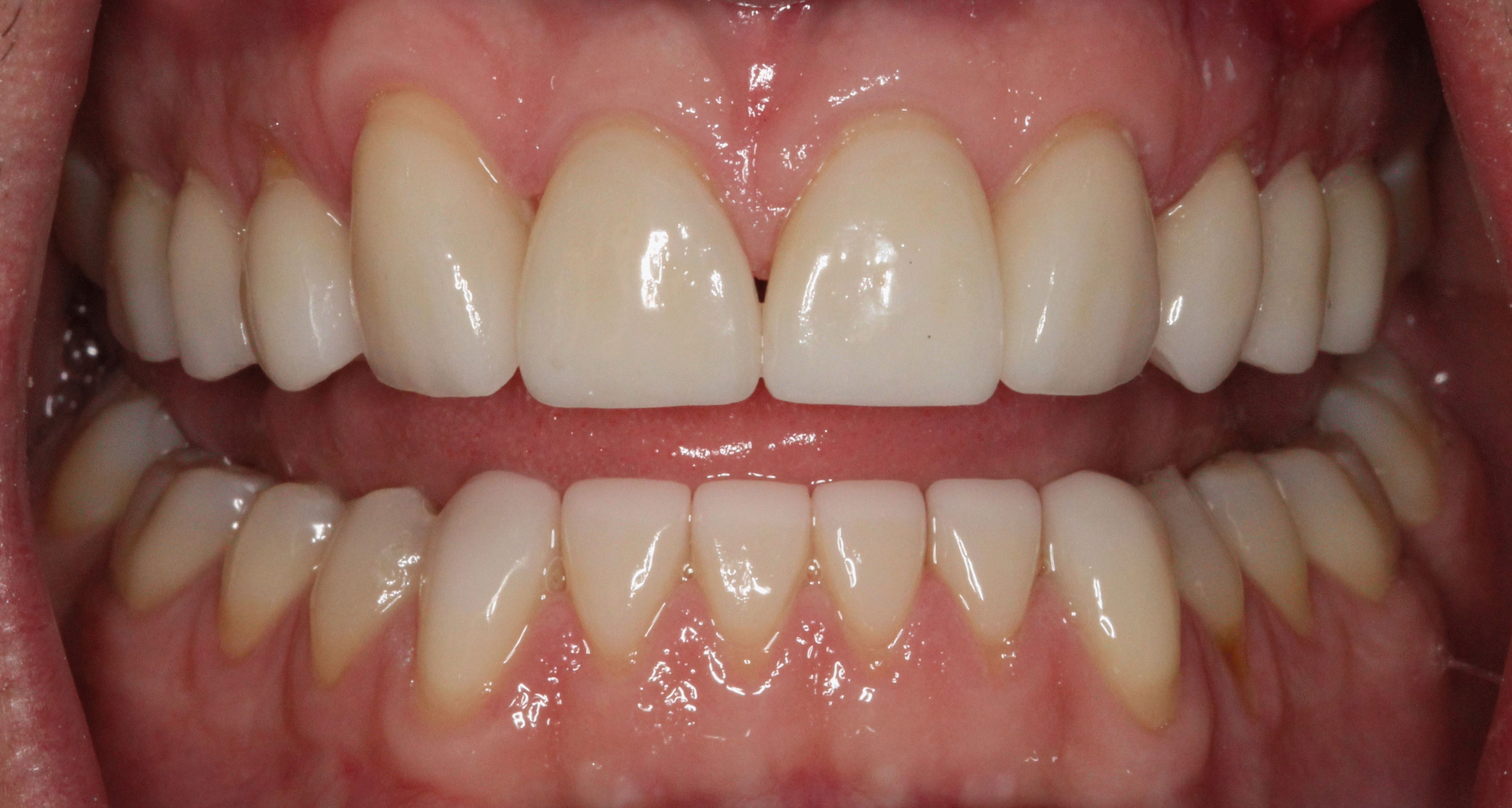
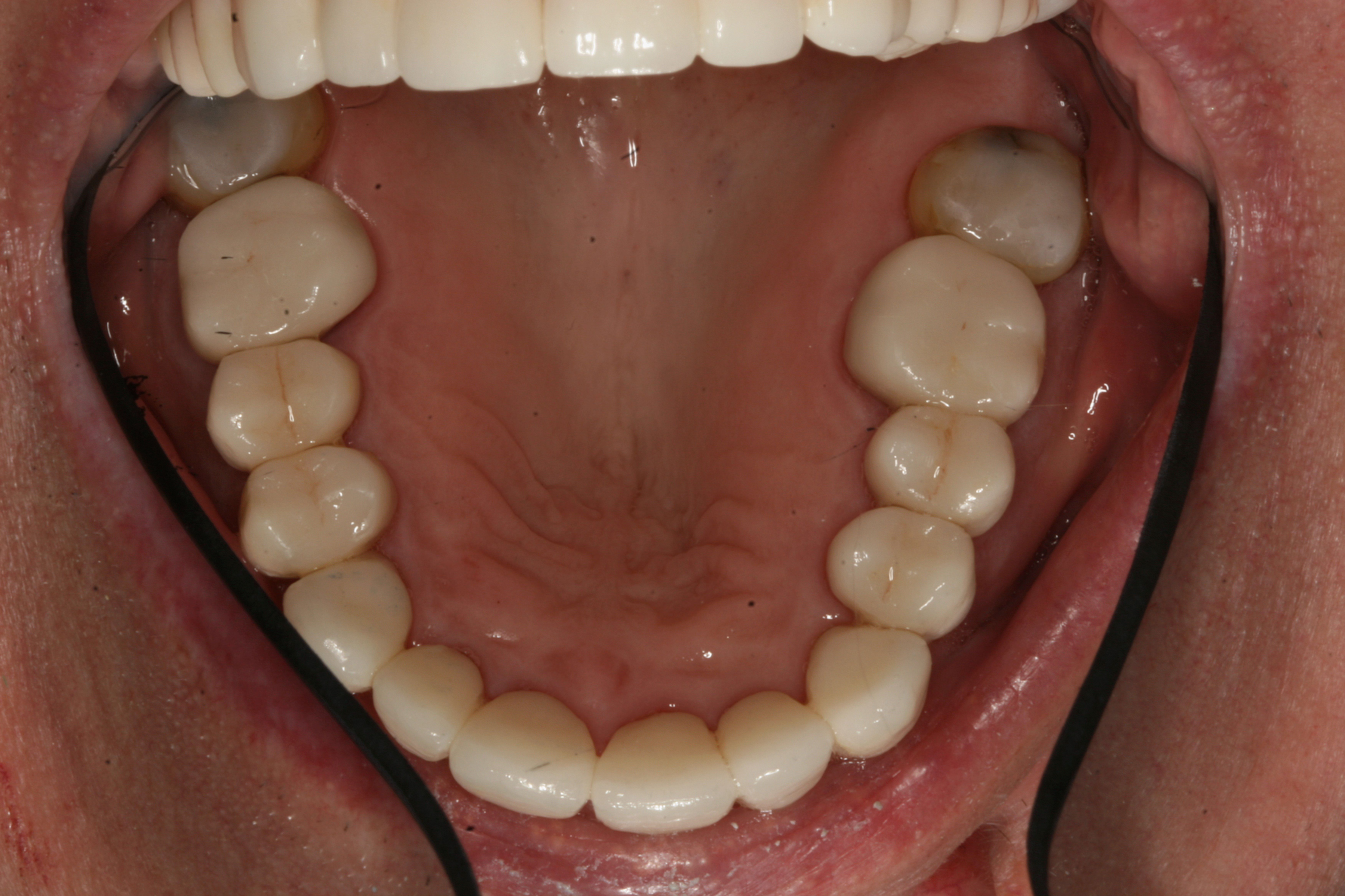
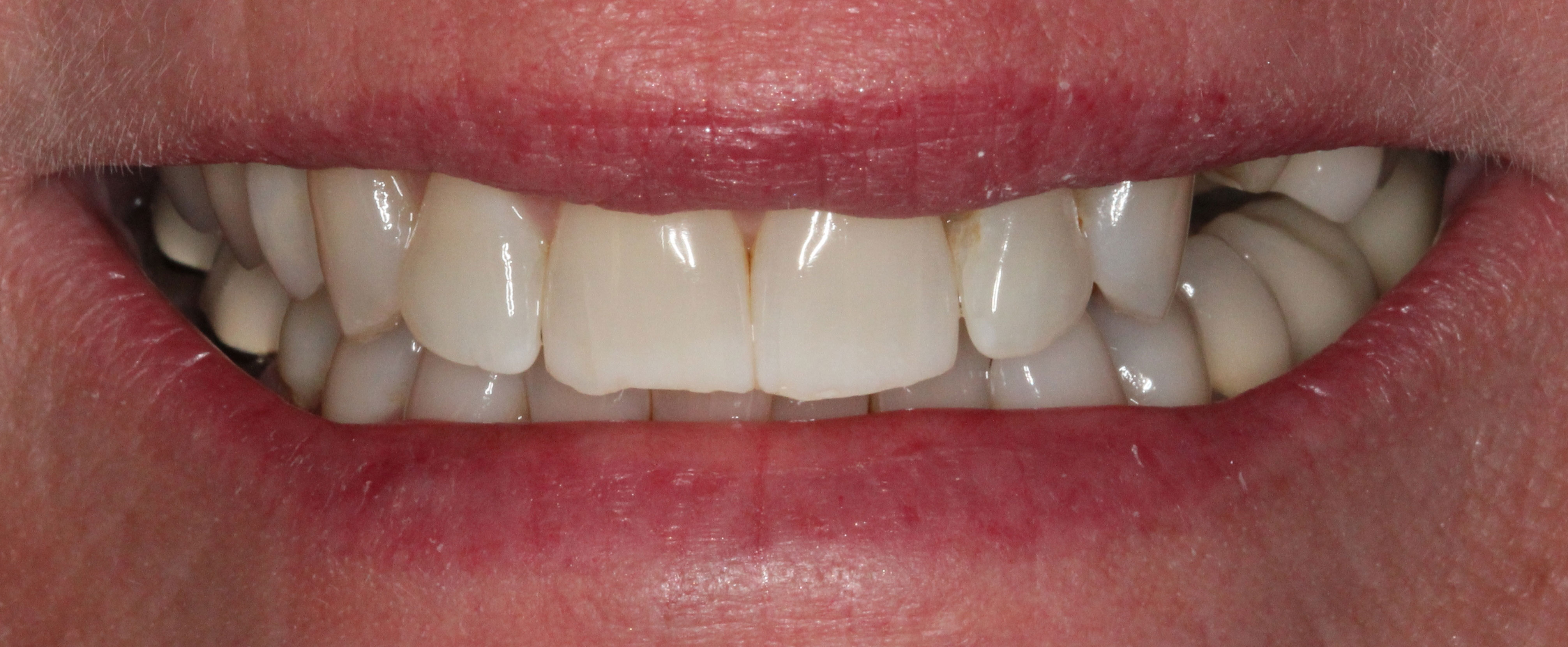
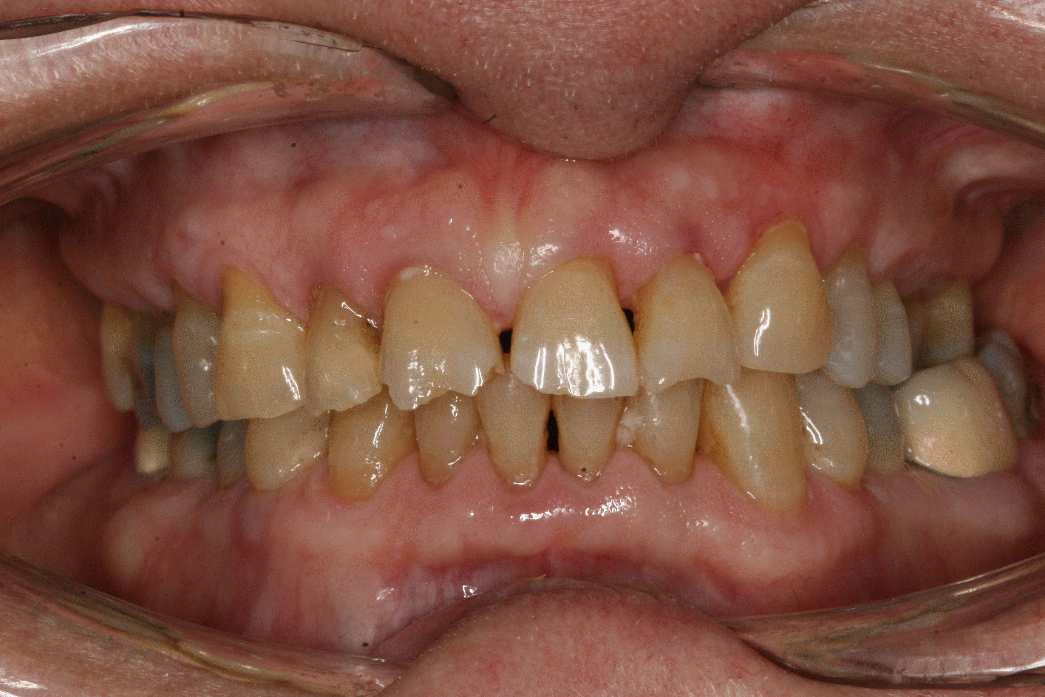
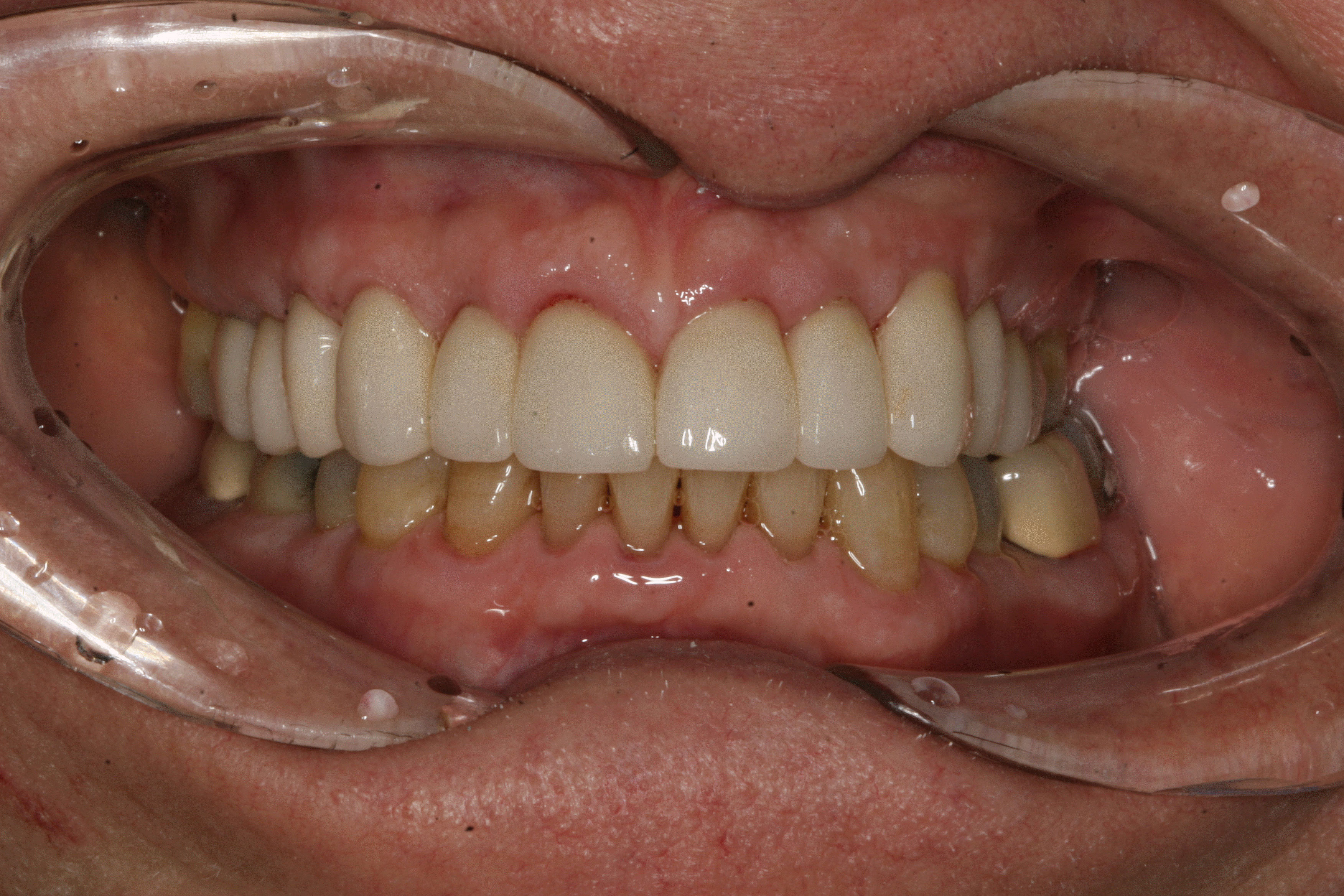
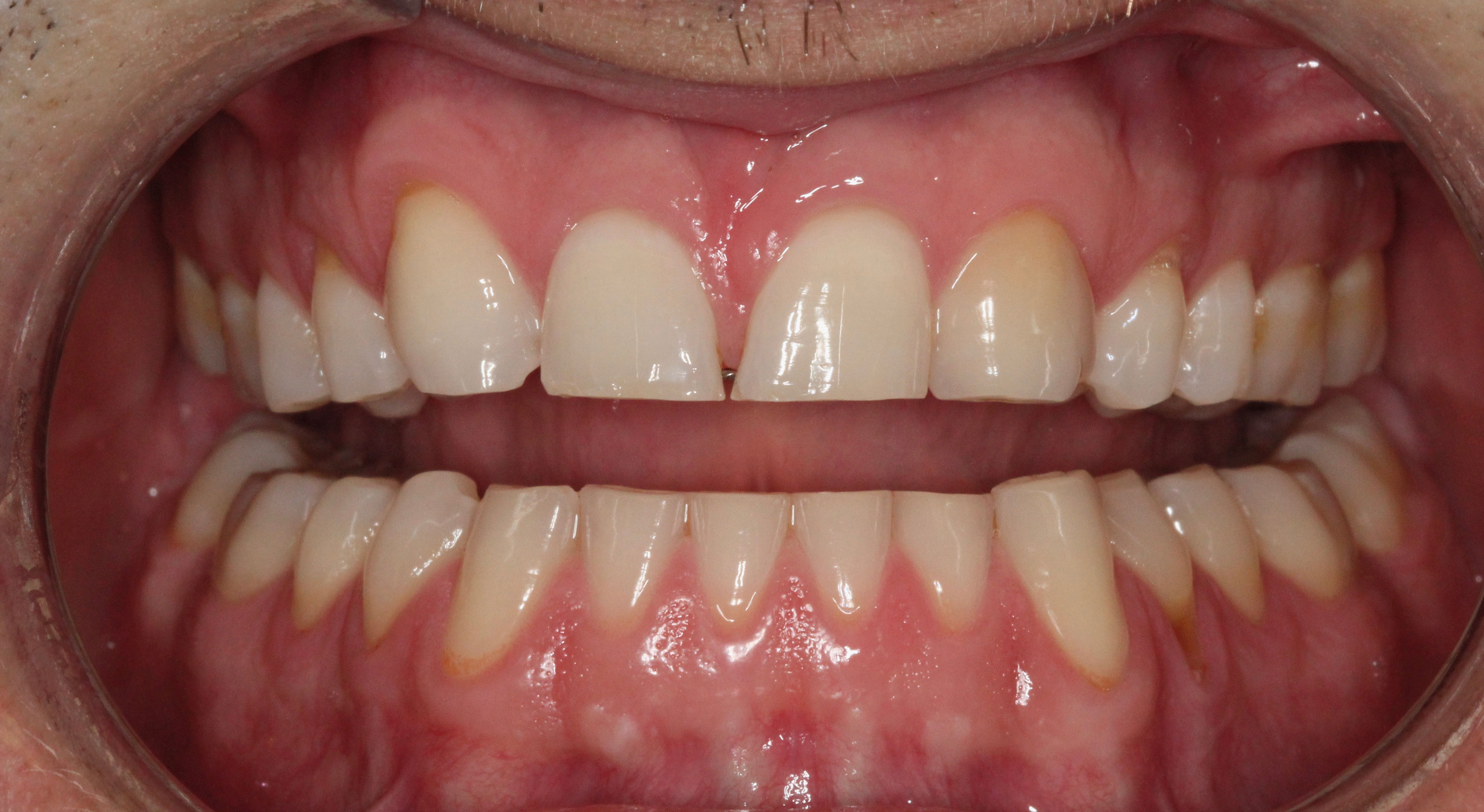
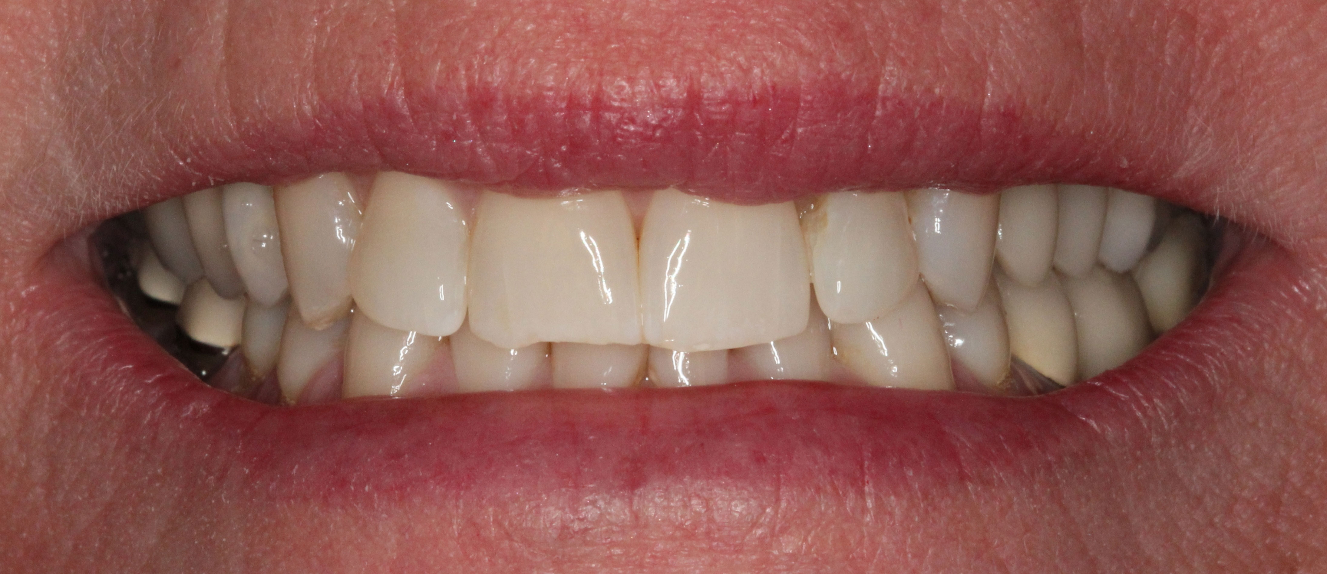
Welcome to our Before & After gallery, where you can see the transformative power of modern dentistry. Each set of images showcases real patients and the incredible results they've achieved through our personalized dental treatments. From smile makeovers to restorative procedures, we take pride in helping our patients regain confidence and improve their oral health. Explore these stories and see how we can help you achieve the smile of your dreams!
Hover over an image to alternate between before and after. For mobile users, simply tap.















